患者男, 53岁,因右手小指、无名指及右前臂尺侧疼痛、麻木,常在夜间加重,遂来我科检查。
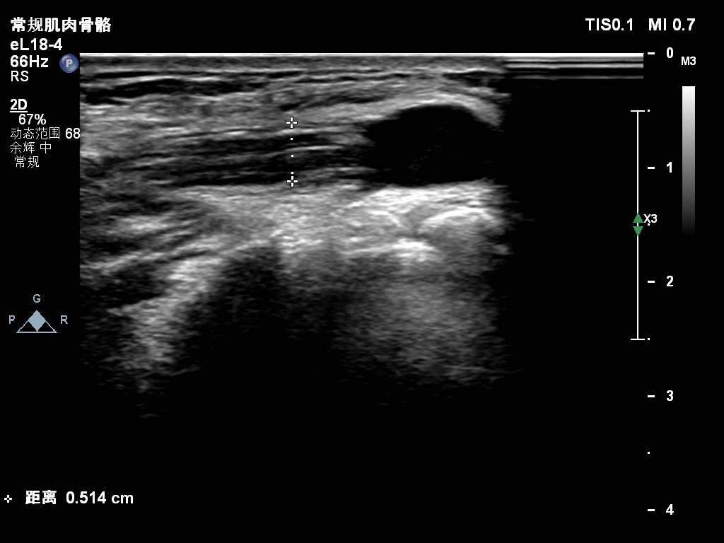
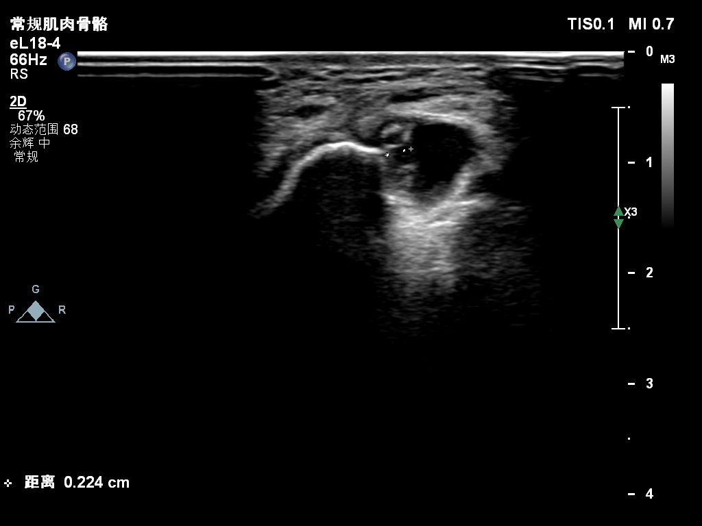
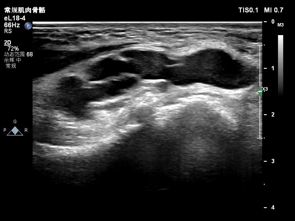
超声所见:右侧尺神经于肘管上段增粗,较粗处横截面积约0.25cm²,神经外膜及神经束膜显示欠清晰,神经纤维连续性可。尺神经走行至肘管处受压变扁,局部尺神经外膜处可见囊性结构并向肘管远段延伸,边界清,形态不规则,内可见多条带状分隔。CDFI:囊性结构内未见明显血流信号。
超声提示:1:右侧尺神经异常所见——符合肘管综合征
2:右侧肘管处尺神经外膜囊肿——考虑神经鞘囊肿

肘管上段增粗的尺神经

肘管处尺神经受压变扁

肘管段及肘管远段尺神经外膜囊肿
随后在我院骨科住院,手术证实与超声所见相符。
科普
什么是肘管?肘管是位于肘关节后内方的一个骨-纤维管道,尺神经走形于此。前壁为尺侧副韧带,后壁为Osborne韧带,内侧壁为肱骨内上髁,外侧壁为尺骨鹰嘴。什么是肘管综合征呢?又称肘尺管综合征,是指任何原因导致肘管变窄,肘管内容积变小,压力增大,使尺神经受到卡压、牵拉、摩擦而引起的神经功能障碍。肘管综合征主要的临床症状是无名指和小指、手背及前臂尺侧的麻木刺痛,这些症状常在夜间加重,并可有某些体位活动引起。发病原因主要有肱骨内上髁的骨折、骨性关节炎、风湿类风湿性关节炎、肘管内占位性及囊性病变、频繁过度屈曲肘关节及先天性因素(肘外翻,尺神经沟变浅)等。什么是神经鞘囊肿?它是一种良性的发生在神经外膜内的粘液性囊肿,也被称为神经内粘液囊肿或神经内粘液状假性囊肿。

济源市第二人民医院超声科巨资引进飞利浦超高端超声诊断仪EPIQ7C,图像超清晰,分辨力极高,具有世界先进水平,具备持续升级能力。机器配备四把高清探头,用于成人心脏、儿童心脏、新生儿心脏、腹部、浅表、肌骨超声、以及周围血管等方面的临床诊断。科室近期开展新项目右心声学造影、经食管超声心动图、肌骨超声,科室拥有雄厚的超声诊断技术力量,科室人员先后在北京阜外医院、北京301解放军总医院、河南省人民医院、河南省骨科医院进修学习。以我们一流的设备、一流的技术、一流的服务,用我们的热心、关心、细心、耐心,换我们的患者舒心、放心、安心!
超声科电话:0391-6620192
彩超室:梁伟利