病例摘要
患儿男,6岁,因体检心前区听诊杂音来我科检查。
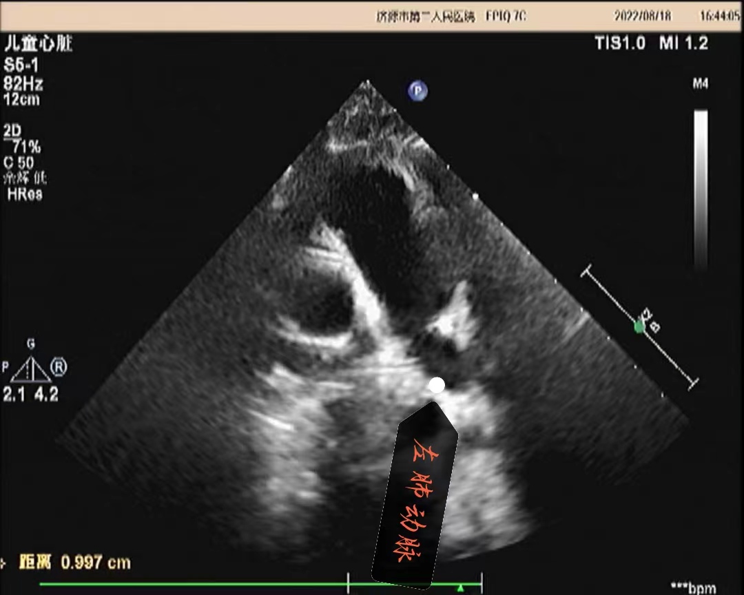
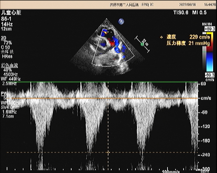
超声所见:各房室大小正常,肺动脉主干内径增宽,约20mm,左右肺动脉内径分别约10mm、8.7mm,左肺动脉起始于主肺动脉的右侧并向左侧走行,右肺动脉起始于主肺动脉左侧向右走行。主动脉内径正常,搏动好。各瓣膜回声正常,肺动脉瓣开启可,关闭欠佳,余瓣膜启闭自如。房室间隔连续完整,室壁厚度及运动收缩幅度正常。CDFI:主肺动脉及左、右肺动脉前向流速增快,主肺动脉峰值流速:2.5m/s、左肺动脉峰值流速:2.2m/s、右肺动脉峰值流速:1.7m/s;肺动脉瓣口探及舒张期少量返流。
超声提示:1.左右肺动脉交叉 2.肺动脉主干内径增宽 3.肺动脉主干及左、右肺动脉前向流速增快 4.肺动脉瓣少量返流

(肺动脉主干及右肺动脉)

(肺动脉主干及左肺动脉)

(左肺动脉峰值流速)
科普
什么是肺动脉交叉?正常情况下,左、右肺动脉分别起自主肺动脉左右两侧,然后进入左、右肺门。肺动脉交叉即一种非常罕见的肺动脉分支起源及走形异常的变异,左肺动脉起始于主肺动脉右侧,右肺动脉起始于主肺动脉左侧,两者交叉然后分别进入左右肺门,标准心底短轴切面不能同时显示左、右肺动脉起始段。单纯的轻度肺动脉交叉对肺动脉血流动力学没有影响的,临床没有任何症状的无需进行手术矫治,定期进行复查。如果严重的肺动脉交叉,肺动脉狭窄同时合并心内其他畸形时,需要尽快进行手术矫治。
济源市第二人民医院超声科巨资引进飞利浦超声诊断仪EPIQ7C,图像超清晰,分辨力极高,具备持续升级能力。机器配备四把高清探头,用于成人心脏、儿童心脏、新生儿心脏、腹部、浅表、肌骨超声以及周围血管等方面的临床应用。科室近期开展新项目右心声学造影、经食管超声心动图、肌骨超声,科室拥有雄厚的超声技术力量。科室人员先后在北京阜外医院、北京301解放军总医院、河南省人民医院、河南省骨科医院进修学习。愿我们用热心、关心、细心,换得患者的舒心、放心、安心!
彩超室:梁伟利