病例一
6岁的子陌,是一个活波的小男孩。平常很喜欢玩投球,也特别喜欢跟小朋友们一起玩耍。小孩子们一起嬉笑打闹,玩着你追我赶的游戏看起来是习以为常的,子陌的母亲并没有发现孩子有什么不适。
在一次学校组织的体检中,医生给子陌做检查,听诊的时候发现有明显杂音,令人担忧。于是,医生给子陌的母亲联系,详细询问患儿日常生活中是否出现气喘、嘴唇发绀等异常现象。患儿的母亲仔细回忆,告知医生从孩子出生到现在并未发现异常现象,只是在与小朋友们疯跑打闹的时候,因为剧烈跑步,出现过几次气喘的现象。当时,她觉得孩子是因为用劲跑步太累了,才会气喘,所以也并没有引起她的重视。
随后,子陌的母亲也十分担心,又不敢耽搁,怕耽误孩子的病情,于是,来到门诊找医生诊治,随即来到彩超室检查。
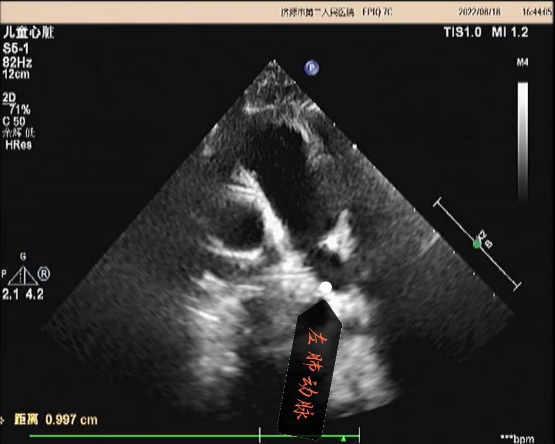
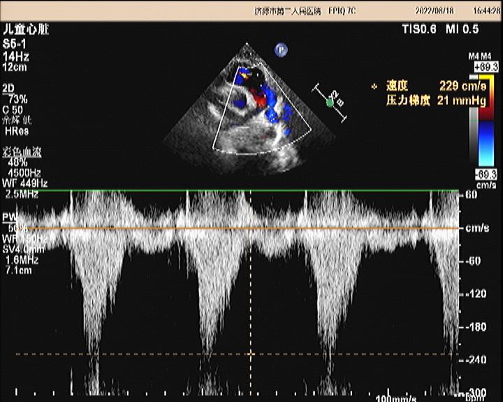
超声所见:各房室大小正常,肺动脉主干内径增宽,约20mm,左、右肺动脉内径分别约10mm、8.7mm,左、右肺动脉未见有狭窄,左肺动脉起始于主肺动脉的右侧并向左侧走行,右肺动脉起始于主肺动脉左侧向右走行。主动脉内径正常,搏动好。各瓣膜回声正常,肺动脉瓣开启可,关闭欠佳,余瓣膜启闭自如。房室间隔连续完整,室壁厚度及运动收缩幅度正常。CDFI:主肺动脉及左、右肺动脉前向流速增快。主肺动脉峰值流速:2.5m/s。左肺动脉峰值流速:2.2m/s。右肺动脉峰值流速:1.7m/s。肺动脉瓣口探及舒张期少量返流。
超声提示:1.左右肺动脉交叉 2.肺动脉主干内径增宽 3.肺动脉主干及左、右肺动脉前向流速增快 4.肺动脉瓣少量返流

(肺动脉主干及右肺动脉)

(肺动脉主干及左肺动脉)

(左肺动脉峰值流速)
病例二
35岁的清琳,G2P1,怀孕24周,平素身体健康。因为第一个宝宝顺利生产,身体特别健康。所以,清琳立刻想着要二胎,也没有那么大的思想顾虑。
可是,没想到,意外就是这么突然。当清琳按照医生的要求,定期进行胎儿孕检的时候,竟然发现胎儿心脏有异常。本来已经沉浸在幸福喜悦的清琳就像被浇淋了一盆冷水,一时间竟想逃避现实,实在不愿意相信这是真的。
在丈夫的再三劝说下,清琳稳定情绪,遂来我院进一步检查。
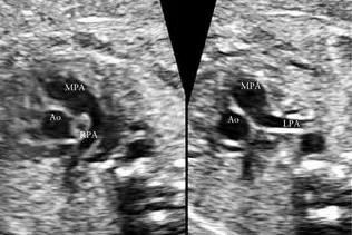
超声所见:胎儿的心脏位于左侧胸前内,四腔心切面、左右室流出道切面、主动脉弓及导管弓切面、下腔静脉及肺静脉均未见异常。但在三血管切面及心底短轴切面发现异常,左肺动脉起始于主肺动脉的右侧并向左侧走行,右肺动脉起始于主肺动脉左侧向右走行,主肺动脉及左右肺动脉内径均未见狭窄,血流未见异常。没有发现其他的心内畸形。
超声提示:胎儿左右肺动脉交叉
随访胎儿足月生产,Apgar评分正常,未见紫绀,听诊未发现有杂音,随后又做了产后心脏彩超,除了肺动脉交叉,其他均未见有异常。

(胎儿肺动脉交叉 )
科普知识什么是肺动脉交叉?
正常情况下,左、右肺动脉分别起自主肺动脉左、右两侧,然后进入左、右肺门。肺动脉交叉是一种非常罕见的肺动脉分支起源及走形异常的变异,左肺动脉起始于主肺动脉右侧,右肺动脉起始于主肺动脉左侧,两者交叉然后分别进入左、右肺门,标准心底短轴切面不能同时显示左、右肺动脉起始段。
肺动脉交叉的原因尚不清楚,但是据推测,这种异常可能是由于肺动脉干内的差异性生长不良造成的,从而导致左肺动脉、右肺动脉失去正常关系并相互夹叉。单纯的肺动脉交叉对肺动脉血流动力学没有影响,没有伴随其他先天性心脏病,临床没有任何症状无需进行手术矫治,但需要定期进行复查,以保证持续了解病情。如果合并心内畸形,如室间隔缺损,导致一部分静脉血直接进入右心室,这种情况可能影响心脏功能,还可能影响孩子正常发育。如果严重的肺动脉交叉,肺动脉狭窄同时合并心内其他畸形时,影响肺部血液分部,导致肺淤血,反复肺部感染,需要尽快进行手术矫治。
注意事项
肺动脉交叉轻微的患者可以暂时观察,多休息,避免剧烈运动,定期复查心脏彩超,中重度肺动脉交叉尽快治疗,避免出现危及生命的情况。
彩超室:梁伟利