病例一
患者,男,56岁。既往有高血压病史,药物维持可以达到正常标准,患者平时上楼气喘,后来症状逐渐加重,走路多了就会气喘,一直按高血压心脏病治疗,效果不明显,后来到我们科室检查。
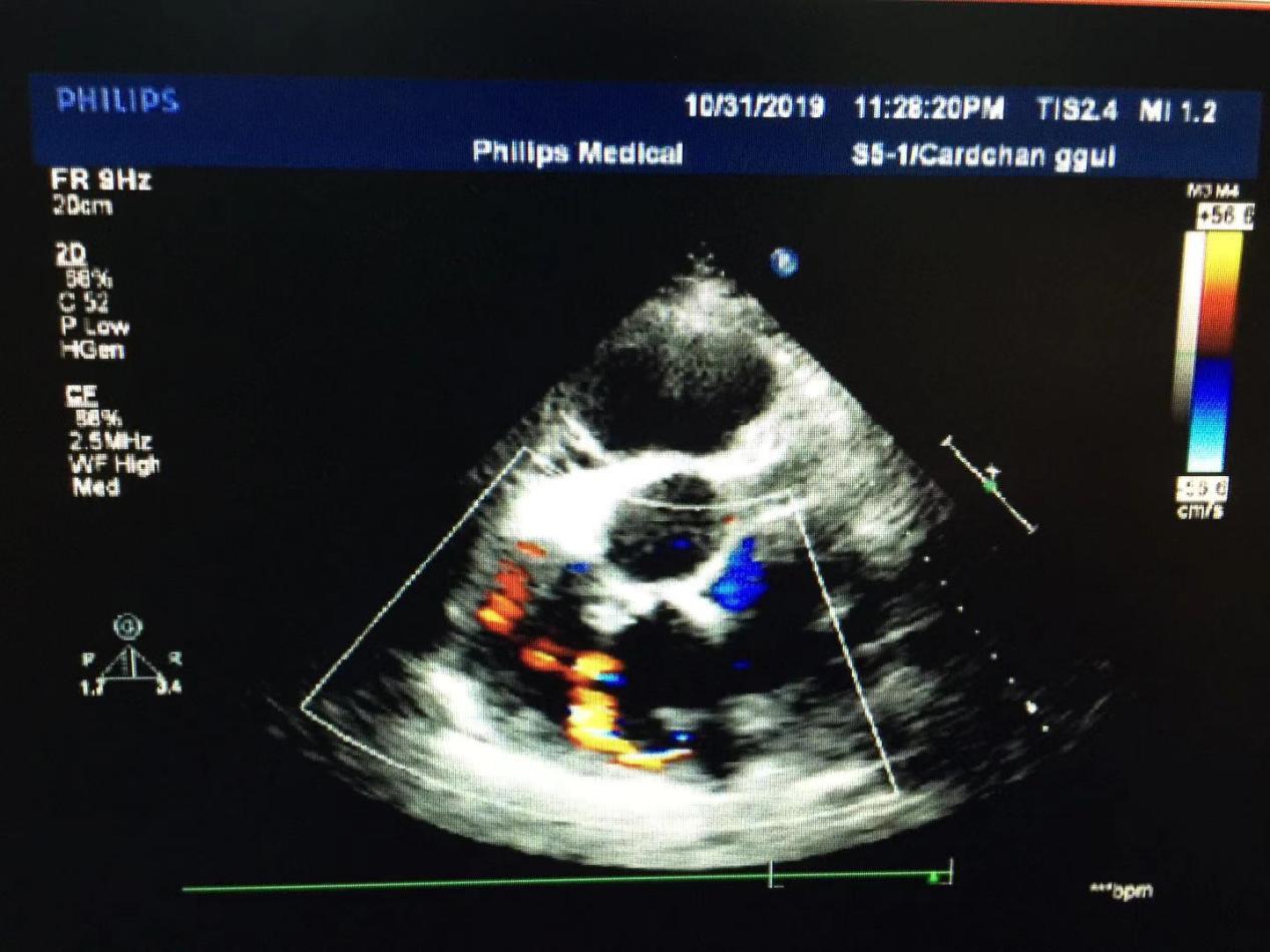
超声所见:全心大,肺动脉主干内径增宽。左冠状动脉迂曲增宽,可视长度明显增加,开口处内径约14mm,增宽的左冠状动脉沿左房越过房间隔开口于右心房,瘘口直径约8mm。房、室间隔连续完整,左室侧后壁运动减弱,余室壁运动尚可。各瓣膜形态正常,二尖瓣、三尖瓣、主动脉瓣开启可,关闭欠佳。心包腔内探及液性暗区,左室后壁深约17mm,右室之前深约13mm。CDFI:于右房内可见以舒张期异常血流信号。二尖瓣、三尖瓣口可见收缩期返流信号。主动脉瓣口可见舒张期返流信号。
超声提示:1.左冠状动脉右房瘘;2.全心大;3.肺动脉高压(中度);4.二尖瓣中量返流;5.三尖瓣大量返流;6.左室收缩功能减低;7.心包积液(中量)。
CT增强检查证实为左冠状动脉右房瘘。后在上级医院手术证实为左冠状动脉右房瘘。

(左冠状动脉增宽)

(右房内的冠状动脉瘘口)

(迂曲扩张的左冠状动脉)
病例二
患者男,71岁,以糖尿病入院,因医生为患者检查时听诊心前区杂音来我科检查。患者平时很少运动,并未有胸闷气喘的症状,血压正常。
超声所见:各房室大小及大动脉根部内径正常,各瓣膜回声正常,二尖瓣,三尖瓣及主动脉瓣开启可,关闭欠佳,余瓣膜启闭可。房、室间隔连续完整,室壁厚度及运动收缩幅度正常。右冠状动脉自主动脉起始处开始迂曲扩张,较宽处内径约10mm,于二尖瓣后叶瓣环处与左室相通,开口处内径约9mm。心包腔内未见明显液性暗区。CDFI:于二尖瓣后叶瓣环处探及舒张期异常血流信号,峰值流速1.85m/s。二尖瓣、三尖瓣口可见收缩期返流信号。主动脉瓣口可见舒张期返流信号。
超声提示:1.右冠状动脉左室瘘;2.右冠状动脉迂曲扩张;3.二尖瓣、三尖瓣、主动脉瓣少量返流;4.左室舒张功能减退。

(右冠状动脉在左室内的瘘口)

(迂曲扩张的右冠状动脉)
科普
什么是冠状动脉瘘?冠状动脉瘘指左、右冠状动脉的主支或分支直接通入心腔、冠状静脉窦、肺动脉、肺静脉、上腔静脉或支气管血管。冠状动脉与心腔或大血管之间存在异常交通的一种先天性心血管畸形,较少见。
一般认为冠状动脉瘘是胚胎发育过程中心肌窦状间隙未退化,持续存在所致。极少数系由于外伤、手术、冠状动脉介入治疗等后天性原因所致。冠状动脉瘘分流量的大小由瘘口的大小及所在腔室内压力的大小所决定。如果瘘入右心或者左房则为收缩期和舒张期连续性分流,如果瘘入左室则为舒张期的分流。冠状动脉瘘最常见的是右冠状动脉-右心室瘘,多为先天畸形。半数以上患者可无症状,仅在体检时发现心脏杂音,但左向右分流量较大者,可在体力活动后出现心悸、心绞痛及心力衰竭症状。如瘘管进入右房者,更易出现心衰症状。瘘入冠状静脉窦者则易发生房颤。冠状动脉瘘可单独存在,也可与动脉导管未闭、室间隔缺损、肺动脉狭窄等其他先心病同时合并出现。
目前冠状动脉瘘分型还未能统一,根据瘘管的开口部位分为两大类:1.冠状动脉血管瘘(与冠状静脉/肺动脉和上腔静脉相通);2.冠状动脉心腔瘘(与左右心房心室相通)。诊断冠状动脉瘘时需要注意四个方面:1.有没有合并其他先天性心脏病;2.瘘口的数量;3.注意有无出现冠状动脉“窃血”现象;4.注意与冠状动脉瘤、冠状动脉异常起源相鉴别。超声是冠状动脉瘘诊断的重要方法,无创,方便。
彩超室:梁伟利