夏天,雷雨天气随时出现。一天下午门诊,外面的风伴着大雨倾盆,上班的路上,我想着今天应该不会有太多的患者,但是到了门口就看见已经有好几位大爷大妈在等候。有的侧着身站着,有的自带小板凳坐着,经过对每个人的查体,发现都是因为腿疼来的,有的疼痛长达数年时间,有的步行困难。一位患者说,已经吃了1个月的止痛药了,还是不能缓解,现在出现胃部疼痛。通过检查发现患者的膝关节退变不是特别厉害,主要是内侧副韧带处压痛明显,决定给予局部封闭治疗,嘱休息,可以隔天后热敷。一周后复查,患者已经能自由活动,不再需要止痛药了。
随着天气冷暖变化,门诊的腰腿疼痛患者也逐渐增加,很多人经过一夏天的缓解期,又到了加重的时候。特别是年龄在40岁及以上、女性、肥胖或超重、有关节创伤史的人群,大部分人的症状开始是膝关节内侧疼痛,不在意,后逐渐出现疼痛加重,不能上下楼梯,不能下蹲,有的关节出现肿胀,甚至变形,越来越明显。
为什么会出现这样的情况呢?目前大部分的观点是关节周围肌肉萎缩、长期从事负重劳动等特殊职业、有骨关节炎家族史、肥胖、登山爱好者等。这些都是膝关节退行性变高危因素,我们认识到这些危险因素,如果针对可改变的危险因素进行早期干预有助于延缓骨关节炎发病和疾病进展。

压痛和关节畸形是骨关节炎患者体格检查时常见的体征。关节肿大以指间关节骨关节炎最为常见且明显。膝关节可因骨赘形成或滑膜炎症积液出现关节肿大。此外,骨关节炎患者由于关节软骨破坏,关节面不平整,所以活动时可以出现摩擦音(感),该体征最常见于膝关节骨关节炎患者。中到重度髋、膝关节骨关节炎患者也可能出现步态异常。
骨关节炎患者应选X线检查,必要时可行CT、MRI及超声等检查进一步明确退变部位、退变程度。骨关节炎受累关节在X线片上的三大典型表现为非对称性关节间隙变窄、关节边缘骨赘形成以及软骨下骨硬化和(或)囊性变。MRI可以观察到骨关节炎关节的软骨厚度变薄、缺损、骨髓水肿、关节积液以及膝关节半月板变性、损伤和腘窝囊肿等,对于临床诊断早期骨关节炎有一定价值。CT的检查一般应用不多,主要是有的关节炎需手术治疗,进行术前评估使用。
对于骨关节炎患者,首选保守治疗,包括健康教育、运动治疗、物理治疗和行动辅助支持。建议患者改变不良的生活及工作习惯,如避免长时间跑、跳、蹲,同时减少或避免爬楼梯、爬山等。减轻体重不但可以减轻关节疼痛,而且可改善关节功能。正确合理的运动治疗和物理治疗可以促进局部血液循环、减轻关节炎症反应。对于髋、膝关节骨关节炎患者,推荐在日常生活中采用行动辅助支持治疗,通过减少受累关节负重来减轻疼痛。游泳也是非常好的锻炼方式,避免关节负重,同时可以锻炼肌肉力量。对膝关节骨关节炎患者可以考虑采用冷疗、热疗、中频、微波、针灸等物理治疗。
药物治疗方面,推荐使用局部外用非甾体抗炎药(NSAIDs)作为膝关节骨关节炎疼痛的一线治疗药物,但是需警惕胃肠道和心血管不良事件。对于长期、慢性、广泛性疼痛却伴有抑郁的骨关节炎患者,可以使用度洛西汀等抗焦虑药物。局部外用和口服中成药可缓解骨关节炎疼痛、改善关节功能,且安全性较高。
手术治疗包括:关节镜手术通过治疗关节镜清理术改善患者症状,对于膝关节力线不佳的胫股关节单间室骨关节炎,尤其是青中年且活动量较大的患者,可酌情选择胫骨高位截骨术、股骨髁上截骨术或腓骨近端截骨术,以改善关节功能并缓解疼痛。关节置换术能够显著改善重度骨关节炎的疼痛和功能。

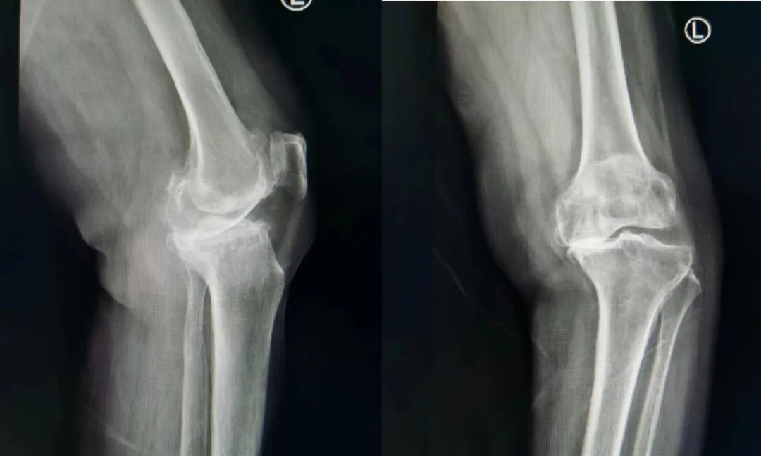
目前膝关节置换方面,部分单间室退变的患者,如髌股关节炎、胫股关节单间室骨关节炎,在符合相应的手术指征条件下,也可以选择行相应的单间室人工关节置换手术(如上图),单间室置换能更好的保留患者本体感觉。
骨科:艾军