济源老大爷得了要命的病,7次抽吸,4次支架,转危为安
负责既是一种态度,也是一种能力。
对济源二院外三科主任王敏波来说,作为医生就必须把责任刻在灵魂深处,始终保持精益求精的工作习惯,真真正正对患者负责。
所以,面对那个高难度手术,出于对患者的负责,王敏波不断的告诉自己和团队:定信心,绷紧弦、加把劲,这次手术必须得成功。
那天下午4点,下冶镇的王大爷正在自己的院子里溜达。突然,王大爷无明显诱因感觉到左侧肢体变得一点力气都没有,紧接着就摔倒在地上。家人见状,意识到他病情严重,不敢怠慢,就第一时间紧急拨打120,送至济源二院,入住外三科。
刚入住外三科的王大爷呈嗜睡状态,言语不清,只有呼唤的时候才会缓慢睁开眼睛。
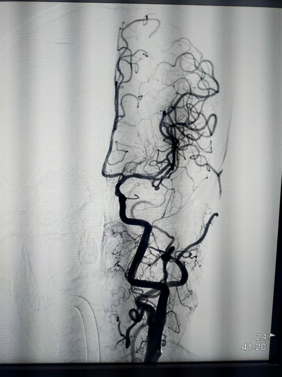
经检查,王大爷被诊断为:右颈总动脉—大脑中动脉M2血管闭塞。

(抽吸前)
何为右颈总动脉—大脑中动脉M2闭塞?面对这个专业术语,家人一脸茫然。“就是从心脏这个地方到大脑的血管全部堵塞。”外三科主任王敏波用通俗易懂的语言向家人解释了王大爷的病。
这么大面积的血管都堵塞了,这不就是要命的病吗?王敏波的讲解让家人意识到了患者病情的急、危、重。
还能救活吗?这是家属最关心的一个问题。医者,救死扶伤,他们把所有的希望都寄托在王敏波和他的团队身上。
职业所在,仁道所在。对于医生来说,哪怕只有1%的希望,也要竭尽全力去救治患者。
凌晨5点30分,天还未亮,城市还未苏醒,整个世界一片寂静。但,济源二院手术室灯光通明,亮白如昼,王敏波和他的团队开始为患者进行手术。

(抽吸后)
造影提示右侧颈总动脉起始部约3cm以上闭塞,立即送入椎动脉导管,插入闭塞血管近段抽吸血栓。
抽吸过程中,面临血管负荷大、血管迂回、抽吸困难、再次血栓形成等困难。定信心,绷紧弦、加把劲,面对难度系数100%的手术,王敏波团队坚定“咬定青山不放松、不破楼兰终不还”的信念,想尽一切办法抽吸血栓。
心往一处想,劲往一处使。在王敏波团队的努力下,历经2小时5分钟的奋战,7次抽吸,4次支架,难关终于被攻克。

(抽吸的血栓)
7点35分,手术成功。此时,太阳已经升起照耀着整个大地,整个城市开始有序地运转,到处一片生机盎然。

王敏波和他的团队走出手术室,一夜未眠抢救患者的他们显得格外疲惫,但疲惫的神情难以掩饰手术成功的喜悦和自豪。
那么?
是怎样的精神支撑着这群与生命赛跑的人,敢冒生死攸关的风险?
是怎样的勇气促使着这些与死神较量的人,去做生命最后的拼搏?
答案很简单:医者的责任和担当。
办公室:孔雪丽